HËNË-PREMTE 08:00–17:00 | SHTUNË 08:00–12:00
Çmime deri në 70% më të ulëta se në vendet e tjera

Implante Dentare në Shqipëri | American Dental Hospital

Implantet dentare në Shqipëri janë për pacientët që kërkojnë një zgjidhje të përhershme për zëvendësimin e dhëmbëve. Ato rikthejnë funksionin dhe pamjen estetike të dhëmbëve përmes vendosjes së implanteve që duken dhe ndihen si dhëmbë natyralë. Rezultati? Dhëmbë të fortë, të shëndetshëm dhe estetikisht të bukur.

Dhëmbë të fikse në 24-48 orë (ngarkesë e menjëhershme)

Shkëlqyeshëm
436 vlerësime
Implantet dentare në Shqipëri

Çfarë janë implantet dentare?

Implantet dentare janë një zgjidhje afatgjatë për zëvendësimin e dhëmbëve duke përdorur vida të vogla titani që vendosen në kockën e nofullës. Këto implante veprojnë si rrënjë artificiale dhëmbësh, duke krijuar një bazë të fortë dhe të qëndrueshme për dhëmbët zëvendësues.

Pasi implanti vendoset, ai bashkohet gradualisht me kockën e nofullës, duke krijuar një bazë të sigurt që mbështet kurora, ura ose restaurime të plota të harkut dentar. Ky proces ndihmon në ruajtjen e strukturës së kockës dhe parandalon humbjen kockore që zakonisht ndodh pas humbjes së dhëmbëve.

Implantet dentare rikthejnë si funksionin ashtu edhe pamjen estetike, duke u mundësuar pacientëve të hanë, flasin dhe buzëqeshin me vetëbesim. Ato përdoren gjerësisht për shkak të qëndrueshmërisë, pamjes natyrale dhe aftësisë për të përmirësuar shëndetin e përgjithshëm oral.

Merrni Ofertën Tuaj Falas

Flisni me një dentist dhe merrni një rekomandim të personalizuar trajtimi. Ofrojmë vlerësime falas për të gjitha trajtimet dentare, me çmime transparente dhe udhëzim në çdo hap.

Filloni transformimin tuaj sot!
Plotësoni të dhënat tuaja për një KONSULTË FALAS ONLINE!

Para dhe Pas: Trajtime Dentare në Shqipëri

Hidhini një sy galerisë sonë Para & Pas për të zbuluar historitë e suksesit të pacientëve tanë — nga zbardhimi i thjeshtë i dhëmbëve deri te rikonstruksionet e plota me implante dentare.

Vlerësime nga Pacientët Tanë

Ky seksion mbledh dëshmi video nga pacientët e klinikës sonë dentare në Shqipëri, duke treguar rezultatet dhe historitë reale të atyre që zgjodhën Spitalin Dentar Amerikan.

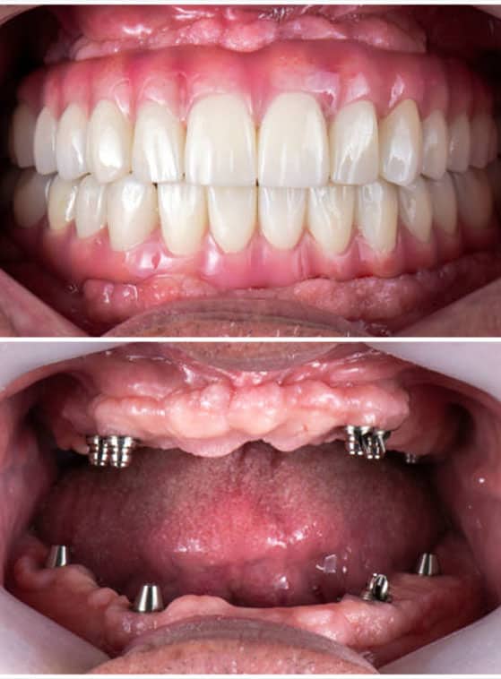
Si Funksionojnë Implantet Dentare?

Implantet dentare përbëhen nga tre komponentë kryesorë që punojnë së bashku për të zëvendësuar një dhëmb si nga ana funksionale ashtu edhe estetike. Çdo pjesë është projektuar për të imituar strukturën e një dhëmbi natyral dhe për të garantuar stabilitet afatgjatë.

Vetë implanti është një vidë e vogël titani që vendoset në kockën e nofullës dhe vepron si rrënjë artificiale e dhëmbit. Me kalimin e kohës, ai bashkohet me kockën, duke krijuar një bazë të fortë dhe të qëndrueshme.

Mbi implant vendoset abutmenti, i cili lidh implantin me restaurimin përfundimtar. Pjesa e dukshme është kurora, ura ose proteza e plotë e harkut, e prodhuar në mënyrë të personalizuar për t’u përshtatur me formën, ngjyrën dhe funksionin e dhëmbëve natyralë.

Ne Përdorim Implantet Dentare OSSTEM – Një Lider Global i Industrisë

Tek American Dental Hospital, ne punojmë ekskluzivisht me Implanti OSSTEM, një nga sistemet kryesore të implanteve dentare në botë, i besuar nga klinicistët në mbi 80 vende.

Implantet OSSTEM njihen ndërkombëtarisht për besueshmërinë e tyre klinike, shkallën e suksesit afatgjatë dhe dizajnin e avancuar të implanteve. Të zhvilluara duke përdorur kërkime të gjera dhe inxhinieri të bazuar në prova, sistemet OSSTEM janë projektuar për t'u integruar në mënyrë të parashikueshme me kockën, duke siguruar stabilitet dhe qëndrueshmëri të jashtëzakonshme.

Kohëzgjatja e procedurës

1-5 orë

Marka e implantit

IMPLANTE OSSTEM

Garancia

5-10 Vite

Transporti

Transport Privat

Akomodimi

Suitë Luksoze 4★

Jetëgjatësia

15–20 vite
Kirurgji implantimesh dentare me çmime të përballueshme në Shqipëri

Përfitimet e Implanteve Dentare

Implantet dentare ofrojnë një zgjidhje të përhershme për zëvendësimin e dhëmbëve, duke rikthyer si funksionin ashtu edhe pamjen estetike. Duke u integruar drejtpërdrejt me kockën e nofullës, implantet krijojnë një bazë të fortë dhe të qëndrueshme që imiton nga afër rrënjët natyrale të dhëmbëve dhe ndihmon në ruajtjen e shëndetit oral.

Përfitimet kryesore përfshijnë:

Zëvendësim i dhëmbëve me një zgjidhje të përhershme dhe me pamje natyrale
Ruajtje e kockës së nofullës dhe parandalim i humbjes kockore
Përmirësim i aftësisë së përtypjes dhe qartësisë së të folurit
Ndjesi dhe funksion si dhëmbë natyralë
Nuk dëmtojnë dhe nuk varen nga dhëmbët e tjerë ekzistues
Qëndrueshmëri afatgjatë me kujdesin e duhur

Merrni Ofertën Tuaj Falas

Flisni me një dentist dhe merrni një rekomandim të personalizuar trajtimi. Ofrojmë vlerësime falas për të gjitha trajtimet dentare, me çmime transparente dhe udhëzim në çdo hap.

Filloni transformimin tuaj sot!
Plotësoni të dhënat tuaja për një KONSULTË FALAS ONLINE!

Buzëqeshje e Përsosur, Pa Shqetësime, Pa Ankth, me American Dental Hospital

Ndryshoni buzëqeshjen tuaj me paketat tona të plota dentare që përfshijnë trajtimin, biletat e avionit dhe hotelin.
Dëshmi nga Pacientët

Histori Reale nga Pacientët Tanë

Pacientë nga e gjithë Europa dhe më gjerë ndajnë përvojën e tyre në American Dental Hospital në Tiranë.

4.9
Vlerësimi i Google
Bazuar në +1000 komente
Shkëlqyeshëm
436 vlerësime
22/01/2026
Zgjodha All on 4 sepse doja një zgjidhje fikse dhe më pak ndërhyrje kirurgjikale. Dentisti ma shpjegoi gjithçka qartë dhe vendosa dhëmbët provizorë shumë shpejt. Tani mund të ha dhe të buzëqesh normalisht.
Lexo më shumë
Roberto F.
– Verona
08/01/2026
Erdha për implante pas vitesh me probleme. Gjithçka u shpjegua qartë dhe u ndjeva rehat që në vizitën e parë. Klinika ishte shumë e pastër dhe profesionale. Jam tepër i lumtur që bëra këtë investim për shëndetin tim.
Lexo më shumë
Marko R.
– Milano
29/11/2025
Isha pak nervoze të udhëtoja për një trajtim dentar, por gjithçka shkoi më mirë nga sa prisja. Dentisti më kushtoi kohë dhe rezultati duket shumë natyral. Ndryshim i pabesueshëm në buzëqeshjen time.
Lexo më shumë
Xhulia S.
– Romë
14/12/2025
Bëra kurora dhe trajtime të përgjithshme dentare. Asnjë dhimbje dhe asnjë nxitim. Çmimet ishin të drejta dhe cilësia sinqerisht më e lartë nga sa prisja.
Lexo më shumë
Alessandro M.
– Bolonjë
07/06/2025
Erdha pas një rekomandimi nga një mik. Ekip shumë i organizuar dhe komunikim i qartë. Ndihesha i sigurt gjatë gjithë kohës dhe jam i kënaqur me rezultatin.
Lexo më shumë
Franceska D.
– Milano
18/08/2025
Kisha nevojë për trajtim estetik dhe nuk doja diçka që dukej artificiale. Dentisti dëgjoi me kujdes çfarë kërkoja. Fasetat e mia duken të mrekullueshme por shumë natyrale.
Lexo më shumë
Paolo V.
– Napoli
02/10/2025
Kisha probleme dentare prej vitesh. Trajtimi këtu më në fund i zgjidhi. Gjithçka shkoi pa probleme nga konsultimi deri te kontrollet pasuese.
Lexo më shumë
James L.
– Londër
21/12/2025
Zgjodha All on 6 pas humbjes së shumë dhëmbëve ndër vite. I gjithë procesi ishte shumë i organizuar dhe ekipi tepër profesional. Rezultati final është fantastik.
Lexo më shumë
Stefano C.
– Torino
Rezultate të mahnitshme para dhe pas implanteve dentare në Shqipëri

Kush Ka Nevojë për Implante Dentare

Pacientët që kanë humbur dhëmbët: Implantet dentare janë ideale për individët që kanë humbur dhëmbët si pasojë e kariesit, traumave ose sëmundjeve të mishrave. Ato zëvendësojnë dhëmbët në mënyrë të sigurt dhe ndihmojnë në rikthimin e funksionit normal dhe pamjes estetike.
Personat që janë lodhur nga protezat e lëvizshme dhe të parehatshme: Pacientët që përjetojnë shqetësime me protezat përfitojnë shumë nga implantet dentare. Implantet ofrojnë një zgjidhje të përhershme që ndihet më natyrale dhe më e sigurt gjatë aktiviteteve të përditshme.
Individët me mishra të shëndetshëm dhe kockë të mjaftueshme: Implantet dentare janë më të përshtatshme për pacientët me inde të shëndetshme të mishrave dhe me kockë të mjaftueshme për të mbështetur implantin. Në rastet me humbje kockore, mund të rekomandohen trajtime shtesë për përgatitjen e zonës.
Ata që kërkojnë një zgjidhje afatgjatë për zëvendësimin e dhëmbëve: Implantet janë një opsion i shkëlqyer për pacientët që dëshirojnë një alternativë të qëndrueshme dhe afatgjatë ndaj urave apo protezave të lëvizshme. Me kujdesin e duhur, ato ofrojnë rezultate fantastike për shumë vite.
Pacientët që duan të rikthejnë funksionin oral dhe vetëbesimin: Implantet dentare rekomandohen për ata që duan të përmirësojnë aftësinë e përtypjes, të folurit dhe vetëbesimin. Duke trajtuar humbjen e dhëmbëve, implantet i ndihmojnë pacientët të ndihen më të sigurt kur buzëqeshin dhe ndërveprojnë në jetën sociale.

Procedura e Implanteve Dentare Hap Pas Hapi

Konsulta dhe planifikimi i trajtimit

Procesi fillon me një konsultë të detajuar ku dentisti vlerëson dhëmbët, mishrat dhe kockën e nofullës për të konfirmuar nëse jeni kandidat i përshtatshëm për implante dentare. Përdoren skanime dixhitale dhe radiografi për të planifikuar me saktësi vendosjen e implanteve dhe për të dizajnuar një rezultat që duket natyral dhe funksionon në mënyrë optimale.

Përgatitja e zonës

Nëse pacienti ka probleme si infeksione aktive, çrregullime të mishrave apo dhëmbë që duhen hequr, ato trajtohen fillimisht për të krijuar një bazë të shëndetshme. Në disa raste mund të rekomandohet mbështetje shtesë për kockën, në mënyrë që implanti të vendoset në mënyrë të sigurt.

Kirurgjia e Vendosjes së Implanteve

Implanti vendoset në kockën e nofullës nën anestezi lokale dhe zona mbyllet për të filluar procesin e shërimit. Ky implant vepron si një rrënjë e re dhëmbi, duke krijuar bazën e fortë të nevojshme për restaurimin përfundimtar.

Shërimi dhe Integrimi i Implantit

Gjatë javëve ose muajve në vijim, implanti bashkohet gradualisht me kockën, proces që i jep implanteve forcën e tyre. Gjatë kësaj periudhe, nëse është e nevojshme, mund të vendosen dhëmbë provizor në mënyrë që buzëqeshja juaj të mbetet e plotë gjatë shërimit.

Vendosja e abutmentit dhe marrja e masave

Pasi shërimi të konfirmohet, mbi implant vendoset një lidhës i vogël i quajtur abutment, i cili do të mbajë dhëmbin përfundimtar. Më pas merren masa ose skanime dixhitale për të prodhuar kurorën, urën ose protezën e plotë të personalizuar, me përshtatje ideale dhe pamje natyrale.

Vendosja e dhëmbëve përfundimtarë dhe kontrolli i kafshimit

Proteza përfundimtare fiksohet mbi implant dhe rregullohet me kujdes që kafshimi të ndihet komod dhe i balancuar. Dentisti kontrollon përshtatjen, funksionin dhe estetikën, dhe ju jep udhëzime për kujdesin pas trajtimit në mënyrë që implanti të mbetet i fortë dhe i shëndetshëm për shumë vite.

Rezultate të mahnitshme të zëvendësimit të dhëmbëve me implante dentare në Shqipëri

Pse të Zgjidhni Kujdesin Dentar në Shqipëri?

Kujdesi dentar në Shqipëri ofron një kombinim të rrallë mes cilësisë së lartë mjekësore dhe kostove të arsyeshme. Vitet e fundit, Tirana është kthyer në një destinacion të besuar për pacientë nga Italia, Mbretëria e Bashkuar dhe gjithë Europa, të cilët kërkojnë trajtime të sigurta, moderne dhe të organizuara pa çmime drastike.

Çmime reale dhe transparente Kurse deri në 70% krahasuar me klinikat në Itali, Gjermani apo Britani.
Dentistë ekspertë – Dentistë dhe kirurgë të trajnuar sipas standardeve europiane.
Teknologji moderne – Diagnostikim me skanerë 3D, planifikim dixhital dhe teknika minimalisht invazive.
Organizim i plotë i udhëtimit – Ndihmë me transport, akomodim dhe koordinim të vizitave.
Siguri spitalore – Trajtime të kryera në ambient të certifikuar me mbështetje mjekësore 24/7.

Shkalla e Suksesit të Implanteve Dentare 

Implantet dentare kanë një shkallë shumë të lartë suksesi, duke i bërë ato një nga zgjidhjet më të besueshme për zëvendësimin e dhëmbëve në stomatologjinë moderne. Kur vendosen nga profesionistë me përvojë dhe mbështeten nga kockë e shëndetshme dhe mishra në gjendje të mirë, implantet arrijnë stabilitet afatgjatë dhe rezultate të parashikueshme.

Një nga arsyet kryesore të suksesit të tyre është mënyra se si implantet integrohen me kockën e nofullës, duke krijuar një bazë të fortë dhe të përhershme. Kjo lidhje e drejtpërdrejtë u mundëson implanteve të përballojnë forcat e përtypjes, duke garantuar funksion të ngjashëm me dhëmbët natyralë.

Me higjienë të mirë orale, kontrolle të rregullta dentare dhe zakone të shëndetshme, implantet dentare mund të zgjasin për shumë vite, shpesh për gjithë jetën. Qëndrueshmëria dhe performanca e tyre i bëjnë një zgjedhje të sigurt për pacientët që kërkojnë një zgjidhje të përhershme për zëvendësimin e dhëmbëve.

implante dentare cilësore në Shqipëri

Afati i Rikuperimit dhe Shërimit

Dita e operacionit dhe 48 orët e para

Ënjtje e lehtë deri mesatare dhe shqetësime janë normale gjatë dy ditëve të para pas kirurgjisë së implanteve dentare. Pacientëve u rekomandohet të përdorin kompresa me akull, të marrin medikamentet dhe të ndjekin një dietë me ushqime të buta ose të lëngshme për të mbrojtur zonën e implantit.

Ditët 3–7

Ënjtja zakonisht arrin kulmin rreth ditës së tretë ose të katërt dhe më pas fillon të ulet, ndërsa mund të shfaqen mavijosje të lehta rreth nofullës apo faqeve. Duhet të vazhdojë higjiena orale e butë, aktiviteti fizik të kufizohet dhe të konsumohen ende ushqime të buta.

Javët 1–3

Gjatë kësaj periudhe shumica e ënjtjes dhe shqetësimit zhduken dhe aktivitetet e përditshme bëhen më të lehta. Pacientët mund të zgjerojnë gradualisht dietën me më shumë ushqime të buta, duke shmangur presionin ose përtypjen direkte mbi zonën e implantit.

Javët 4–8

Shërimi është kryesisht i përfunduar. Zakonisht pacienti mund t'i rikthehet rutinës normale, por duhet të shmangen ende ushqimet shumë të forta ose ngjitëse për të mbrojtur implantin në shërim.

Muajt 3–6

Implanti vazhdon të bashkohet me kockën e nofullës në procesin e quajtur osteointegrim. Vizitat e rregullta të kontrollit dhe radiografitë përdoren për të konfirmuar stabilitetin dhe shërimin e shëndetshëm të kockës.

Muaji 6 e më tej

Pasi integrimi të jetë përfunduar plotësisht, vendoset kurora, ura ose proteza përfundimtare. Në këtë fazë rikthehet funksioni i plotë, duke i lejuar pacientët të hanë, flasin dhe buzëqeshin me vetëbesim me një rezultat të qëndrueshëm afatgjatë.

Llojet e Implanteve Dentare

Implante dentare për një dhëmb

Të projektuara për të zëvendësuar një dhëmb te pacientët që kanë humbur dhëmbë individualë, këto implante përbëhen nga një implant i vetëm i mbuluar me një kurorë të personalizuar. Kjo zgjidhje rikthen funksionin dhe pamjen natyrale duke ruajtur dhëmbët fqinjë të shëndetshëm dhe strukturën e kockës.

Disa implante dentare

Pacientët që kanë humbur disa dhëmbë përdoren disa implante. Ato mund të mbështesin kurora ose ura të fiksuara dhe ofrojnë një zgjidhje të qëndrueshme dhe me pamje natyrale, duke përmirësuar rehatinë, aftësinë e përtypjes dhe shëndetin oral afatgjatë krahasuar me opsionet e lëvizshme.

Kujdesi dhe Mirëmbajtja e Implanteve Dentare

Pas kirurgjisë së implanteve dentare, kujdesi i duhur është thelbësor për të mbrojtur implantin, për të mbështetur shërimin dhe për të siguruar integrim të suksesshëm me kockën. Ndjekja me kujdes e udhëzimeve të dentistit ndihmon në uljen e komplikimeve dhe rrit suksesin afatgjatë.

Si të kujdeseni për implantet dentare:

  • Merrni të gjitha medikamentet sipas udhëzimeve
  • Shmangni prekjen e zonës së implantit
  • Përdorni kompresa me akull gjatë 24–48 orëve të para
  • Konsumoni vetëm ushqime të buta javët e para dhe shmangni përtypjen mbi implant
  • Lani dhëmbët me kujdes rreth implantit dhe përdorni vetëm shpëlarës të rekomanduar nga dentisti
  • Shmangni duhanin, pasi ndikon negativisht në shërim
  • Mos kryeni aktivitet fizik të rëndë për 1–2 javë pas operacionit
  • Mbani higjienë të mirë orale duke qenë të kujdesshëm pranë zonës së operuar
  • Merrni pjesë në të gjitha vizitat e planifikuara të kontrollit
  • Kontaktoni menjëherë dentistin nëse keni dhimbje të forta, ënjtje apo shenja infeksioni
  • Raportoni menjëherë temperaturë, gjakderdhje të tepërt ose dhimbje të forta

Çfarë Ndodh Nëse Një Implant Dështon?

Dështimi i implantit dentar është i rrallë, por kur ndodh zakonisht lidhet me infeksion, integrim të dobët me kockën, duhanpirje ose presion të tepërt mbi implantin. Shenjat e hershme mund të përfshijnë shqetësim, ënjtje, lëvizshmëri të implantit ose inflamacion të mishrave, prandaj kontrollet e rregullta janë shumë të rëndësishme.

Nëse një implant dështon gjatë fazës së hershme të shërimit, ai zakonisht hiqet për t’i dhënë zonës mundësi të shërohet siç duhet. Pas shërimit, shumë pacientë mund të vendosin sërish një implant të ri ose një alternativë tjetër restaurimi, në varësi të gjendjes së kockës dhe shëndetit oral.

Me diagnozë të saktë, kujdes profesional dhe higjienë të mirë, dështimi i implantit shpesh mund të korrigjohet me sukses. Stomatologjia moderne fokusohet në identifikimin e shkakut për të ulur rreziqet në të ardhmen dhe për të siguruar rezultate të qëndrueshme për pacientët.

Kostoja e Implanteve Dentare në Shqipëri

Kostoja e implanteve dentare në Shqipëri fillon nga 299 euro, duke e bërë një zgjedhje tërheqëse për pacientët që kërkojnë trajtim cilësor me çmime më të përballueshme se në shumë vende të Europës Perëndimore. Çmimi përfundimtar varet nga faktorë individualë si gjendja e kockës, numri i implanteve dhe lloji i restaurimit të planifikuar.

Shumë pacientë zgjedhin American Dental Hospital për trajtimin me implante dentare falë teknologjisë së avancuar, specialistëve me përvojë dhe planifikimit transparent të trajtimit. Ky kombinim u mundëson pacientëve të marrin zgjidhje të besueshme dhe afatgjata duke përfituar nga çmimet konkurruese në Shqipëri.

dentisti më i mirë në Shqipëri për implante dentare

Pse Pacientët i Besojnë American Dental Hospital

Ekip ekspert i kirurgjisë maksilofaciale

Spitali punëson kirurgë oralë dhe maksilofacialë me trajnim specifik dhe eksperiencë në vendosjen e implanteve dentare. Kjo ekspertizë e specializuar është e rrallë dhe thelbësore për arritjen e rezultateve të suksesshme.

Navigim kirurgjikal 3D i avancuar

Imazheria cone beam CT e gjeneratës së fundit dhe programet e planifikimit kirurgjikal hartojnë anatominë me saktësi të lartë. Udhëzuesit kirurgjikalë të personalizuar sigurojnë trajektore të saktë të implanteve edhe në raste anatomike komplekse.

Sallë kirurgjikale moderne

Procedurat kryhen në një sallë operatore të pajisur me monitorim mjekësor 24/7, duke garantuar siguri maksimale për pacientin gjatë gjithë ndërhyrjes.

Sukses i dëshmuar

Spitali ka realizuar një numër të madh rastesh të suksesshme me implante dentare, me shkallë të lartë suksesi dhe pacientë të kënaqur nga e gjithë Europa.

Protokoll i vendosjes së implanteve në të njëjtën ditë

Protokollet e implantologjisë me ngarkesë të menjëhershme mundësojnë vendosjen e dhëmbëve funksionalë që në ditën e operacionit, duke u lejuar pacientëve të kthehen në shtëpi me buzëqeshje të plotë.

Kujdes i plotë për pacientët ndërkombëtarë

Për pacientët që udhëtojnë drejt Shqipërisë, spitali koordinon akomodimin, transportin, planifikimin e trajtimit dhe kujdesin pasues, duke siguruar një përvojë të organizuar dhe pa stres.

Merrni Ofertën Tuaj Falas

Flisni me një dentist dhe merrni një rekomandim të personalizuar trajtimi. Ofrojmë vlerësime falas për të gjitha trajtimet dentare, me çmime transparente dhe udhëzim në çdo hap.

Filloni transformimin tuaj sot!
Plotësoni të dhënat tuaja për një KONSULTË FALAS ONLINE!
Ku pyetjet tuaja, gjejnë përgjigje

Pyetjet E Bëra Më Shpesh

Keni pyetje për kujdesin tuaj dentar? Jemi këtu për t'ju dhënë përgjigje të qarta dhe të sinqerta që t'ju ndihmojnë të ndiheni të sigurt dhe të informuar në çdo hap.

Çfarë janë implantet dentare dhe pse konsiderohen opsioni më i mirë për zëvendësimin e dhëmbëve?

Implantet dentare shërbejnë si rrënjë artificiale që vendosen në kockën e nofullës për të mbështetur kurora, ura ose proteza, duke ofruar stabilitet të pakrahasueshëm dhe pamje natyrale krahasuar me metodat e tjera të zëvendësimit të dhëmbëve.

Sa i suksesshëm është trajtimi me implante dentare?

Implantet dentare kanë një shkallë shumë të lartë suksesi kur vendosen në kockë të shëndetshme dhe mirëmbahen siç duhet, duke i bërë një nga trajtimet më të parashikueshme dhe më të besueshme në stomatologjinë moderne.

A është e dhimbshme kirurgjia e implanteve dentare?

Procedura kryhet nën anestezi lokale dhe shumica e pacientëve përjetojnë shqetësim minimal gjatë rikuperimit, shpesh duke e përshkruar si më të lehtë se një heqje dhëmbi.

Sa zgjat procesi i implanteve dentare?

Edhe pse vendosja e implantit është e shpejtë, shërimi i plotë dhe integrimi me kockën zakonisht zgjasin disa muaj, për të siguruar që implanti të bëhet i fortë dhe i qëndrueshëm përpara vendosjes së dhëmbit përfundimtar.

Kush është kandidat ideal për implante dentare?

Pacientët me mishra të shëndetshëm, higjienë të mirë orale dhe kockë të mjaftueshme janë kandidatë idealë, megjithëse teknikat e avancuara u mundësojnë edhe shumë pacientëve me humbje kockore të përfitojnë nga trajtimi.

Si do të ndihem me implantet dentare pasi të shërohen plotësisht?

Pas shërimit të plotë, implantet dentare funksionojnë njësoj si dhëmbë natyralë, duke u mundësuar pacientëve të hanë, flasin dhe buzëqeshin me rehati pa e ndjerë praninë e implantit.

Akoma keni pyetje?
Na Kontaktoni në WhatsApp
Seksioni i blogjeve

Artikujt e Fundit

Merrni këshilla nga dentistët tanë dhe lajme nga klinika—për të mbajtur buzëqeshjen tuaj të shëndetshme dhe të bukur.
Mbulesa estetike (Veneers) apo Kurora për një buzëqeshje të re? Si bëhet zgjedhja e duhur

Veneers apo Kurora për Riparim të Buzëqeshjes? Si Bëhet Zgjedhja e Du Weal

Veneers apo kurora për një "smile makeover", kjo është një nga pyetjet më të zakonshme

Lexo më shumë
Vite Problemash Dentare, Një Plan i Plotë: Fuqia e Implantit të Plotë të NoFullës Dentare

Vite të Problemeve Dentare, Një Plan i Plotë: Fuqia e Implantimeve Dentare të Plotë të Gojës

Implantet dentare të plota në Shqipëri po ndryshojnë jetë, jo vetëm buzëqeshje. Në American Dental Hospital

Lexo më shumë
Fasadat E-Max në Shqipëri: Për kë janë më të përshtatshme?

Fasetat E-Max: Për Kë Janë Më Të Përshtatshme?

Fasadat E-Max në Shqipëri janë bërë një nga trajtimet më të kërkuara dentare estetike nga

Lexo më shumë
Konsultë e Thjeshtë 1 Minutëshe me Ekspertët Tanë

Kërkoni Ofertën Tuaj Falas - Online - Private

Filloni transformimin tuaj sot!
Plotësoni të dhënat tuaja për një KONSULTË FALAS ONLINE!
Fundi i faqes