lun-ven 08:00-17:00 | sab 08:00-12:00
Fino al 70% di risparmio rispetto ad altri paesi

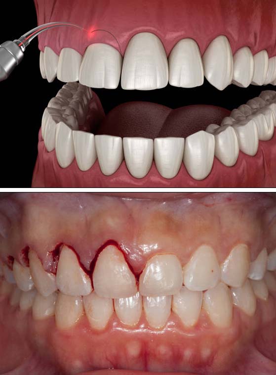
Gum Lift in Albania | American Dental Hospital

Il trattamento di gum lift è indicato per i pazienti che presentano un sorriso gengivale o una linea gengivale irregolare e desiderano un migliore equilibrio dei denti. La procedura rimuove il tessuto gengivale in eccesso per migliorare la forma e le proporzioni dei denti. Il risultato è un sorriso più armonioso e dall’aspetto naturale presso American Dental Hospital.

Excellente
436 reviews on
ascensore per le gengive a prezzi accessibili in Albania

Che Cos’è Un Gum Lift?

Un gum lift è una procedura odontoiatrica estetica che migliora l’aspetto del sorriso rimodellando la linea gengivale. È spesso consigliata ai pazienti le cui gengive coprono eccessivamente i denti o appaiono irregolari, facendo sembrare i denti più corti o sproporzionati. Il trattamento di gum lift si concentra sulla creazione di una linea gengivale più pulita e uniforme, in armonia con la forma dei denti.

Durante un gum lift, piccole quantità di tessuto gengivale vengono rimodellate o rimosse con attenzione per esporre una maggiore superficie naturale del dente. Questo permette ai denti di apparire più lunghi, proporzionati e simmetrici.

Richiedi il Tuo Preventivo Gratuito!

Parla con un odontoiatra esperto in Albania e ricevi una raccomandazione di trattamento personalizzata. Offriamo valutazioni gratuite per tutti i trattamenti odontoiatrici, con prezzi trasparenti e assistenza esperta in ogni fase.

Inizia la tua trasformazione oggi!
Invia i tuoi dati per una CONSULENZA GRATUITA!

Prima e Dopo: Dentista Albania

Dai un’occhiata alla nostra galleria Prima e Dopo per scoprire le storie di successo dei nostri pazienti: dallo sbiancamento dentale più semplice fino alle riabilitazioni complete con impianti dentali.

Dentisti in Albania Video recensioni

Questa sezione raccoglie le testimonianze video dei pazienti della nostra clinica dentale in Albania, mostrando i risultati e le storie reali di chi ha scelto American Dental Hospital.

La Procedura di Gum Lift Passo Dopo Passo

Consultazione ed Esame del Sorriso

Il trattamento di gum lift inizia con una consultazione dettagliata durante la quale il dentista esamina la linea gengivale, la forma dei denti e l’aspetto generale del sorriso. Presso American Dental Hospital, questo passaggio è fondamentale per comprendere i tuoi obiettivi e stabilire quanta rimodellazione gengivale sia necessaria per ottenere un risultato naturale ed equilibrato.

Pianificazione del Trattamento e Design della Linea Gengivale

Una volta completata la valutazione, il dentista pianifica la nuova forma della linea gengivale in base ai lineamenti del viso e alle proporzioni dei denti. Questa fase di progettazione assicura che il risultato finale appaia uniforme, pulito e naturale, senza eccessi.

Anestesia Locale per il Comfort

Prima di iniziare la procedura, viene applicata un’anestesia locale per garantire il massimo comfort. In questo modo il trattamento è indolore e consente al dentista di lavorare con precisione e controllo.

Rimodellamento o Rimozione del Tessuto Gengivale

Il dentista rimodella o rimuove con attenzione il tessuto gengivale in eccesso utilizzando strumenti moderni. Questo passaggio espone una maggiore superficie naturale del dente, facendo apparire i denti più lunghi e simmetrici, mantenendo al tempo stesso gengive sane.

Definizione e Ritocchi Finali

Dopo il rimodellamento principale, la linea gengivale viene perfezionata per garantire bordi lisci e contorni equilibrati. Questo lavoro di precisione è ciò che conferisce al risultato finale un aspetto pulito e rifinito.

Durata della Procedura

1–5 ore

Trasporto

Autista privato

Alloggio

Suite di lusso 5★
lifting estetico delle gengive in Albania

I Benefici di Un Gum Lift

Migliora il Sorriso – Il gum lift rimodella la linea gengivale creando un migliore equilibrio tra denti e gengive, rendendo il sorriso più pulito, uniforme e proporzionato.
Valorizza l’Aspetto dei Denti – Esporre una maggiore superficie naturale del dente aiuta i denti ad apparire più lunghi e definiti, soprattutto nei casi di eccesso di tessuto gengivale.
Trattamento Rapido e Semplice – Il gum lift viene generalmente eseguito in un’unica seduta con tempi di recupero minimi, permettendo di vedere rapidamente i risultati e tornare presto alle attività quotidiane.
Risultati dall’Aspetto Naturale – La procedura è studiata per migliorare l’estetica in modo delicato, assicurando che il risultato finale si integri in modo naturale con i denti e i lineamenti del viso.

Richiedi il Tuo Preventivo Gratuito!

Parla con un odontoiatra esperto in Albania e ricevi una raccomandazione di trattamento personalizzata. Offriamo valutazioni gratuite per tutti i trattamenti odontoiatrici, con prezzi trasparenti e assistenza esperta in ogni fase.

Inizia la tua trasformazione oggi!
Invia i tuoi dati per una CONSULENZA GRATUITA!

Sorriso perfetto, zero pensieri con American Dental Hospital

Trasforma il tuo sorriso con i nostri pacchetti dentali all-inclusive, che includono trattamento, voli e sistemazione.
Testimonianze

Storie Reali dai Nostri Pazienti

Pazienti da tutta Europa e oltre condividono la loro esperienza presso l'American Dental Hospital a Tirana.

4.9
Valutazione di Google
Basata su +1000 recensioni
Excellente
436 reviews on
22/01/2026
Ho scelto l'All on 4 perché volevo una soluzione fissa e meno chirurgia. Il dentista ha spiegato tutto chiaramente e ho avuto i denti provvisori molto velocemente. Posso mangiare e sorridere normalmente di nuovo!
Per saperne di più
Roberto F.
- Verona
08/01/2026
Sono venuto per gli impianti dopo anni di problemi. Tutto è stato spiegato chiaramente e mi sono sentito a mio agio dalla prima visita. La clinica era molto pulita e professionale. Lo rifarei.
Per saperne di più
Marco R.
- Milano
29/11/2025
Ero nervosa per viaggiare per cure dentali ma è andato meglio del previsto. Il dentista si è preso tempo con me e i risultati sembrano molto naturali. Grande differenza nel mio sorriso.
Per saperne di più
Giulia S.
- Roma
14/12/2025
Ho fatto corone e lavori dentali generali. Nessun dolore e nessuna fretta. I prezzi erano giusti e la qualità era onestamente superiore alle mie aspettative.
Per saperne di più
Alessandro M.
- Bologna
07/06/2025
Sono venuto dopo una raccomandazione di un amico. Un team molto organizzato e una comunicazione chiara. Mi sono sentita sicura per tutto il tempo e sono soddisfatta del risultato.
Per saperne di più
Francesca D.
- Milano
18/08/2025
Avevo bisogno di un intervento di odontoiatria estetica e non volevo nulla di finto. Il dentista ha ascoltato ciò che volevo. Le mie faccette hanno un aspetto fantastico ma naturale.
Per saperne di più
Paolo V.
- Napoli
02/10/2025
Ho avuto problemi dentali per anni. Il trattamento qui ha finalmente risolto i problemi. Tutto è filato liscio, dalla consultazione al follow-up.
Per saperne di più
James L.
- Londra
21/12/2025
Ho scelto All on 6 dopo aver perso molti denti nel corso degli anni. L'intero processo è stato ben organizzato e il team è stato molto professionale. Il risultato finale è forte e ha un aspetto naturale.
Per saperne di più
Stefano C.
- Torino
risultati sorprendenti dopo il lifting gengivale in Albania

Chi È Un Buon Candidato per Un Gum Lift

Un gum lift è una buona opzione per i pazienti che sentono che il loro sorriso appare irregolare o troppo “gengivale” e desiderano un aspetto più pulito ed equilibrato. Questo trattamento è principalmente estetico e offre i migliori risultati quando le gengive sono sane e il problema è soprattutto cosmetico.

Questa procedura è comunemente consigliata a pazienti che:

Hanno un sorriso gengivale, in cui le gengive coprono eccessivamente i denti
Presentano linee gengivali irregolari o asimmetriche
Percepiscono i denti come troppo corti a causa dell’eccesso di tessuto gengivale
Hanno gengive sane e nessuna malattia gengivale attiva
Desiderano un trattamento odontoiatrico estetico semplice con risultati rapidi

Tipologie di Procedure di Gum Lift

Gum Lift con Laser

Il gum lift con laser utilizza laser dentali avanzati per rimodellare la linea gengivale con elevata precisione. Questo metodo è molto apprezzato perché comporta sanguinamento minimo, una guarigione più rapida e minore fastidio rispetto alle tecniche tradizionali.

Gum Lift Tradizionale (Tecnica con Bisturi)

Questa tecnica utilizza strumenti odontoiatrici per rimuovere o rimodellare con attenzione il tessuto gengivale in eccesso. È indicata nei casi più complessi e consente al dentista un controllo completo del profilo gengivale quando è necessaria una maggiore rimodellazione.

Gengivectomia

La gengivectomia è un tipo di gum lift in cui il tessuto gengivale in eccesso viene rimosso per esporre una maggiore superficie del dente. È spesso utilizzata quando le gengive coprono troppo i denti e ne influenzano l’aspetto.

Allungamento della Corona (Scopo Estetico)

In alcuni casi, l’allungamento della corona viene utilizzato come gum lift a fini estetici per esporre una maggiore parte del dente. Questa tecnica viene scelta quando è necessario intervenire sia sul tessuto gengivale sia sulla struttura del dente per migliorare l’aspetto complessivo.

trasformazione del sorriso dopo il lifting gengivale in Albania

Perché Scegliere le Cure Dentali in Albania?

Scegliere le cure dentali in Albania significa unire standard medici eccellenti a una pianificazione del trattamento intelligente e senza stress. Negli ultimi anni l’Albania è diventata una destinazione affidabile per i pazienti internazionali in cerca di soluzioni dentali sicure e di qualità, senza costi eccessivi.

Prezzi vantaggiosi - Risparmi fino al 70% rispetto a Italia, Regno Unito e Germania
Odontoiatri esperti – Specialisti con formazione internazionale di comprovata esperienza
Tecnologia Avanzata – Scanner 3D e tecniche di chirurgia minimamente invasive
Pacchetti tutto incluso – Assistenza per voli, trasporti e alloggio
Massima sicurezza – Trattamenti eseguiti in ambienti ospedalieri certificati con monitoraggio medico 24/7

Recupero e Cura Dopo il Trattamento

Il recupero dopo un gum lift è generalmente semplice e senza difficoltà quando si seguono correttamente le indicazioni post-trattamento. La maggior parte dei pazienti avverte un lieve gonfiore o una leggera sensibilità per alcuni giorni, che tende a migliorare rapidamente man mano che le gengive guariscono e si adattano alla nuova forma.

Per favorire la guarigione e proteggere i risultati, è importante seguire queste indicazioni:

  • Evitare cibi duri, croccanti o piccanti nei primi giorni
  • Preferire alimenti morbidi e masticare con delicatezza durante la guarigione
  • Spazzolare con attenzione l’area trattata utilizzando uno spazzolino morbido
  • Evitare risciacqui energici o di toccare le gengive nelle fasi iniziali
  • Seguire le istruzioni del dentista riguardo collutori o farmaci
  • Evitare il fumo, poiché può rallentare la guarigione
  • Partecipare alle visite di controllo consigliate per monitorare la guarigione

Quanto Durano i Risultati di un Gum Lift?

I risultati di un gum lift sono generalmente duraturi e spesso permanenti quando la procedura viene eseguita correttamente e le gengive sono sane. Una volta rimodellato o rimosso il tessuto gengivale in eccesso, questo di solito non ricresce, permettendo di mantenere il miglioramento del sorriso per molti anni.

La durata dei risultati dipende anche da una buona igiene orale e da controlli dentistici regolari. Gengive sane aiutano a preservare la nuova linea gengivale e a prevenire problemi che potrebbero influire sul risultato finale.

Per la maggior parte dei pazienti, il gum lift rappresenta un miglioramento estetico stabile e duraturo, senza necessità di trattamenti ripetuti. Con le cure adeguate, i risultati rimangono nel tempo naturali ed efficaci.

Richiedi il Tuo Preventivo Gratuito!

Parla con un odontoiatra esperto in Albania e ricevi una raccomandazione di trattamento personalizzata. Offriamo valutazioni gratuite per tutti i trattamenti odontoiatrici, con prezzi trasparenti e assistenza esperta in ogni fase.

Inizia la tua trasformazione oggi!
Invia i tuoi dati per una CONSULENZA GRATUITA!
Le Vostre Domande Odontoiatriche, Risposte Chiare

Domande Frequenti

Avete domande sulle vostre cure odontoiatriche? Siamo qui per fornirvi risposte chiare e trasparenti che vi aiutino a sentirvi sicuri e informati in ogni fase del vostro percorso.

Un Gum Lift È Sicuro ed Efficace?

Un gum lift in Albania è un trattamento odontoiatrico estetico sicuro e ben controllato quando viene eseguito in una clinica professionale. I dentisti utilizzano tecniche moderne e rigorosi standard di igiene per garantire che la procedura sia confortevole e offra risultati affidabili e dall’aspetto naturale.

Quanto Tempo Serve per Vedere i Risultati Dopo un Gum Lift?

I risultati di un gum lift sono visibili immediatamente dopo il completamento del trattamento. I denti appaiono subito più lunghi e la linea gengivale risulta più pulita, con un aspetto finale che continua a migliorare man mano che le gengive guariscono.

Il Gum Lift Migliora Davvero l’Aspetto del Sorriso?

Sì, un gum lift può migliorare in modo evidente l’aspetto del sorriso aumentando l’equilibrio tra denti e gengive. Aiuta a correggere un sorriso gengivale o una linea gengivale irregolare, creando un sorriso più armonioso e sicuro.

Il Trattamento di Gum Lift È Doloroso?

Il trattamento di gum lift generalmente non è doloroso, poiché viene eseguito con anestesia locale che rende l’area completamente insensibile. La maggior parte dei pazienti si sente a proprio agio durante la procedura e avverte solo una lieve pressione.

Hai ancora domande?
Scrivici su WhatsApp
Blog e Articoli

Articoli Recenti

Ricevete i consigli degli esperti sulla cura dei denti e gli aggiornamenti sulle cliniche, il tutto per mantenere il vostro sorriso sano e luminoso.
Faccette o Corone per un Sorriso Perfetto? Come Fare la Scelta Giusta

Impiallacciature o Corone per un Rifacimento del Sorriso? Come Si Fa La Scelta Giusta

Faccette o corone per un rifacimento del sorriso, è una delle domande più comuni

Per saperne di più
Anni di Problemi Dentali, Un Piano Completo: La Potenza degli Impianti Dentali Full-Mouth

Anni di problemi dentali, un piano completo: Il potere degli impianti dentali completi

Gli impianti dentali completi in Albania cambiano la vita, non solo i sorrisi. Presso l'American Dental Hospital

Per saperne di più
Le faccette E-Max in Albania: per chi sono più indicate?

Faccette E-Max in Albania: A Chi Sono Ideali?

Le faccette E-Max in Albania sono diventate uno dei trattamenti dentali estetici più richiesti da

Per saperne di più
Consulenza rapida in 1 minuto con i nostri esperti

Richiedi il Tuo Preventivo Gratuito

Inizia la tua trasformazione oggi!
Invia i tuoi dati per una CONSULENZA GRATUITA!
Piè di pagina