Invisalign in Albania | American Dental Hospital
Per i pazienti che desiderano allineare i denti senza ricorrere agli apparecchi tradizionali, Invisalign in Albania rappresenta una soluzione ortodontica trasparente, confortevole e discreta. Presso l’American Dental Hospital, gli allineatori trasparenti realizzati su misura spostano delicatamente i denti nella posizione corretta, permettendoti di continuare la tua routine quotidiana con la massima serenità.
Che cos’è Invisalign e perché è così richiesto?
Invisalign è un sistema ortodontico che utilizza una serie di allineatori trasparenti e rimovibili in materiale plastico per raddrizzare i denti. Ogni mascherina è realizzata su misura per adattarsi perfettamente alla tua dentatura ed è progettata per esercitare forze controllate che spostano i denti in modo graduale e preciso.
Ogni set di allineatori viene indossato per circa 1–2 settimane prima di passare al successivo. Le mascherine sono quasi invisibili, possono essere rimosse per mangiare e per l’igiene orale e risultano molto confortevoli, senza l’utilizzo di bracket o fili metallici.
Il trattamento Invisalign si basa su una pianificazione digitale avanzata in 3D che consente di programmare l’intero movimento dei denti dall’inizio alla fine. I pazienti hanno così la possibilità di visualizzare il risultato finale ancora prima di iniziare il percorso terapeutico.
Richiedi il Tuo Preventivo Gratuito!
Parla con un odontoiatra esperto in Albania e ricevi una raccomandazione di trattamento personalizzata. Offriamo valutazioni gratuite per tutti i trattamenti odontoiatrici, con prezzi trasparenti e assistenza esperta in ogni fase.
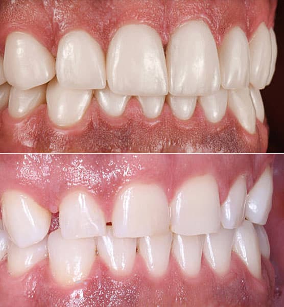
Prima e Dopo: Dentista Albania
Dai un’occhiata alla nostra galleria Prima e Dopo per scoprire le storie di successo dei nostri pazienti: dallo sbiancamento dentale più semplice fino alle riabilitazioni complete con impianti dentali.
Dentisti in Albania Video recensioni
Questa sezione raccoglie le testimonianze video dei pazienti della nostra clinica dentale in Albania, mostrando i risultati e le storie reali di chi ha scelto American Dental Hospital.
Il percorso del trattamento Invisalign
Consulenza iniziale e valutazione
L’ortodontista esamina denti e morso per stabilire se Invisalign è la soluzione più adatta. Presso l’American Dental Hospital questa fase include radiografie digitali e un colloquio per definire gli obiettivi del trattamento.
Scansione digitale 3D
Vengono effettuate scansioni digitali precise dei denti per creare un modello tridimensionale, senza l’uso di impronte tradizionali. La scansione registra ogni dettaglio della posizione dentale.
Pianificazione virtuale del trattamento (ClinCheck)
Attraverso il software Invisalign, l’ortodontista elabora un piano completo che mostra passo dopo passo come si sposteranno i denti. Potrai vedere in anteprima l’aspetto del tuo sorriso finale prima ancora di iniziare.
Realizzazione di allineatori personalizzati
Sulla base del piano approvato viene realizzata l’intera serie di allineatori su misura, progettati esclusivamente per il tuo percorso terapeutico. Ogni mascherina corrisponde a una specifica fase di movimento.
Consegna degli allineatori e istruzioni
Riceverai i primi set di mascherine insieme a indicazioni dettagliate. L’ortodontista ti mostrerà come indossarle, rimuoverle e prendertene cura nel modo corretto.
Modalità di utilizzo
Gli allineatori devono essere portati per 20–22 ore al giorno, rimuovendoli solo per mangiare, bere (eccetto acqua) e per l’igiene orale. Il passaggio al set successivo avviene ogni 1–2 settimane.
Controlli periodici
Le visite di controllo, programmate ogni 6–10 settimane, servono a monitorare i progressi e a consegnare i nuovi allineatori. Si tratta di appuntamenti rapidi e pratici.
Applicazione di attacchi (se necessario)
In alcuni casi vengono applicati piccoli rilievi del colore del dente per migliorare la presa degli allineatori e favorire movimenti specifici in modo più efficace.
Fase di rifinitura (se necessario)
Al termine della prima serie di mascherine può essere prevista una fase di perfezionamento con nuovi allineatori, basata su ulteriori scansioni, per ottimizzare il risultato finale.
Fase di contenzione
Dopo il trattamento è necessario indossare un apparecchio di contenzione per mantenere il nuovo sorriso, come i retainer Vivera (marchio Invisalign) o i retainer tradizionali.
Durata del trattamento
Tipo di trattamento
Vantaggi di Invisalign
Invisalign offre un trattamento ortodontico efficace unendo risultati clinici, discrezione estetica e massima praticità nella vita quotidiana. Il sistema di allineatori trasparenti combina tecnologia avanzata e comfort.
I principali vantaggi includono:
Richiedi il Tuo Preventivo Gratuito!
Parla con un odontoiatra esperto in Albania e ricevi una raccomandazione di trattamento personalizzata. Offriamo valutazioni gratuite per tutti i trattamenti odontoiatrici, con prezzi trasparenti e assistenza esperta in ogni fase.
Storie Reali dai Nostri Pazienti
Pazienti da tutta Europa e oltre condividono la loro esperienza presso l'American Dental Hospital a Tirana.
Durata del trattamento
Il trattamento Invisalign richiede in genere tra 12 e 18 mesi nella maggior parte dei casi. Le situazioni più semplici possono essere risolte in 6–12 mesi, mentre gli allineamenti più complessi possono richiedere 18–24 mesi.
La velocità del percorso dipende dalla complessità del caso e dalla collaborazione del paziente. Indossare gli allineatori per 20–22 ore al giorno, come indicato, è fondamentale per rispettare i tempi previsti.
Cosa aspettarsi durante il trattamento Invisalign
Leggero fastidio iniziale: I nuovi allineatori possono risultare un po’ stretti nei primi 1–2 giorni, poiché esercitano la pressione necessaria per spostare i denti. Si tratta di un disagio lieve e temporaneo che si risolve rapidamente.
Adattamento del linguaggio: Nei primi giorni può comparire un lieve cambiamento nella pronuncia mentre la lingua si abitua agli allineatori. La maggior parte delle persone si adatta entro una settimana e il modo di parlare torna del tutto naturale.
Variazioni della salivazione: All’inizio è possibile notare un aumento della produzione di saliva, una normale reazione del cavo orale agli allineatori. Questo effetto tende a scomparire in pochi giorni.
Percezione degli attacchi: Se vengono applicati piccoli attacchi sui denti, potresti sentirli con la lingua. Diventano però rapidamente impercettibili e, essendo del colore del dente, risultano molto discreti.
Invisalign vs. apparecchio tradizionale
Invisalign è un trattamento ortodontico moderno che utilizza allineatori trasparenti e rimovibili per raddrizzare i denti in modo discreto e confortevole. Le mascherine sono realizzate su misura per adattarsi perfettamente alla dentatura e risultano quasi invisibili, permettendo ai pazienti di migliorare il sorriso senza l’impatto estetico degli apparecchi tradizionali.
Rispetto agli apparecchi fissi, Invisalign offre maggiore comodità e flessibilità nella vita quotidiana. Gli allineatori possono essere rimossi per mangiare, lavarsi i denti e usare il filo interdentale, facilitando l’igiene orale ed eliminando le restrizioni alimentari, pur garantendo risultati efficaci e prevedibili in molti casi ortodontici.
Tasso di successo di Invisalign
Il successo di Invisalign dipende in gran parte dalla costanza del paziente. A differenza degli apparecchi tradizionali, che agiscono in modo continuo, gli allineatori funzionano solo quando vengono indossati. Rimuoverli troppo spesso o per periodi prolungati può allungare i tempi di trattamento o compromettere i risultati.
È necessario portare gli allineatori per 20–22 ore al giorno, rimuovendoli solo per mangiare, bere (eccetto acqua) e per l’igiene orale. Un utilizzo regolare e disciplinato assicura che il percorso proceda secondo la pianificazione.
Igiene orale con Invisalign
Con Invisalign l’igiene orale è più semplice rispetto agli apparecchi fissi, poiché le mascherine sono rimovibili. Tuttavia, è fondamentale pulire correttamente sia i denti che gli allineatori.
Pratiche di cura essenziali:
- Rimuovere gli allineatori prima di mangiare o bere qualsiasi cosa tranne acqua
- Spazzolare i denti e usare il filo dopo ogni pasto prima di reinserirli
- Pulire gli allineatori ogni giorno con uno spazzolino morbido e sapone neutro
- Sciacquare le mascherine con acqua fredda, evitando quella calda che può deformarle
- Immergere gli allineatori settimanalmente in prodotti specifici o cristalli Invisalign
- Conservarli nell’apposita custodia quando non vengono indossati
- Effettuare regolari sedute di igiene professionale ogni 6 mesi
- Non mangiare né bere con gli allineatori inseriti, eccetto acqua
Il costo del trattamento Invisalign
Il costo di Invisalign può variare in base a diversi fattori, tra cui la complessità del caso, la durata del trattamento e il numero di allineatori necessari per raggiungere il risultato desiderato. Ogni piano è personalizzato, perciò l’investimento complessivo dipende dalle specifiche esigenze ortodontiche del paziente e non da un prezzo standard.
Anche elementi come la pianificazione digitale avanzata, le visite di controllo e gli apparecchi di contenzione post-trattamento possono influire sul costo finale. Una consulenza professionale è indispensabile per valutare con precisione il caso e definire il percorso Invisalign più adatto per ottenere risultati efficaci e duraturi.
Perché i Pazienti Si Fidano di American Dental Hospital
Fornitori certificati Invisalign
Il team ortodontico è composto da professionisti certificati Invisalign con ampia esperienza nel trattamento con allineatori trasparenti.
Tecnologia di scansione 3D avanzata
Scanner intraorali digitali consentono di acquisire impronte estremamente precise per una pianificazione accurata, senza l’uso di impronte tradizionali.
Pianificazione terapeutica completa
Ogni caso viene analizzato tramite ClinCheck dettagliato, con revisione e approvazione del paziente prima della produzione degli allineatori.
Sistema Invisalign autentico
L’ospedale utilizza esclusivamente allineatori Invisalign autentici prodotti da Align Technology, evitando sistemi di allineamento imitativi.
Richiedi il Tuo Preventivo Gratuito!
Parla con un odontoiatra esperto in Albania e ricevi una raccomandazione di trattamento personalizzata. Offriamo valutazioni gratuite per tutti i trattamenti odontoiatrici, con prezzi trasparenti e assistenza esperta in ogni fase.
Domande Frequenti
Avete domande sulle vostre cure odontoiatriche? Siamo qui per fornirvi risposte chiare e trasparenti che vi aiutino a sentirvi sicuri e informati in ogni fase del vostro percorso.
Nei casi lievi o moderati sì. Invisalign consente di allineare i denti con risultati paragonabili a quelli degli apparecchi fissi. Le situazioni più complesse, con rotazioni marcate o movimenti verticali importanti, possono però richiedere l’uso di apparecchi tradizionali.
No, gli allineatori devono essere rimossi per mangiare e per qualsiasi bevanda diversa dall’acqua. Questo evita danni e macchie alle mascherine.
All’inizio può comparire un lieve cambiamento nella pronuncia per alcuni giorni. La maggior parte dei pazienti si adatta rapidamente e il linguaggio torna del tutto normale entro una settimana.
Invisalign richiede meno visite rispetto agli apparecchi fissi, in genere ogni 6–10 settimane. A ogni appuntamento riceverai più set di allineatori da utilizzare a casa.
Articoli Recenti
Corone Dentali in Albania: Costi, Materiali e Tempistiche del Trattamento
Le corone dentali in Albania rappresentano una scelta eccellente per pazienti con denti danneggiati, deboli, rotti o
Per saperne di più
Impianti Dentali in Albania 2026: Prezzo, Tempistiche e Opzioni di Trattamento
Gli impianti dentali in Albania nel 2026 sono una scelta intelligente per i pazienti che desiderano denti fissi,
Per saperne di più
American Dental Hospital Albania: Perché i pazienti internazionali si fidano per cure dentali avanzate
L'American Dental Hospital in Albania è considerato attendibile dai pazienti internazionali perché offre cure dentali avanzate
Per saperne di più
