HËNË-PREMTE 08:00–17:00 | SHTUNË 08:00–12:00
Kurse deri në 70% për kujdes dentar

Turizëm Dentar në Shqipëri i Mbështetur nga Kujdes i Plotë Mjekësor

American Dental Hospital është një klinikë moderne dentare në Tiranë që operon brenda një mjedisi të plotë spitalor. Pacientët që na zgjedhin për përvojën e tyre të turizmit dentar marrin trajtim me teknologji të avancuar, protokolle strikte mjekësore dhe akses të menjëhershëm në shërbime urgjence dhe kujdes intensiv kur është e nevojshme. Ekipi ynë që flet italisht ju mbështet që nga konsultimi i parë online deri te kontrolli përfundimtar, duke e bërë gjithë rrugëtimin tuaj të thjeshtë, të sigurt dhe pa stres.

Çmimet mesatare të trajtimeve dentare në Shqipëri

Sa kushton turizmi dentar në Shqipëri?

Ja një përmbledhje e trajtimeve kryesore dentare dhe kostove mesatare të tyre:

Trajtimi
Shqipëria (€)
Implant i plotë dentar (vidë titani + kurorë qeramike): 
399 deri në 500 euro
Fasetat dentare qeramike: 
200 deri në 400 euro për dhëmb
Kurora prej zirkoni:
150 deri në 300 euro
Zbardhim profesional i dhëmbëve:
150 deri në 300 euro
Ortodonci (aparate fikse): 
800 deri në 1.500 euro
Trajtimet në Shqipëri kushtojnë deri në 70% më pak se në Itali, duke ruajtur materiale të certifikuara dhe standarde moderne klinike.

Pse Dentistët në Shqipëri Janë Më të Përballueshëm?

Kosto më e ulët e jetesës - Në Shqipëri, kostoja e jetesës është më e ulët se në vende si Italia, Gjermania apo Franca. Kjo reflektohet edhe në paga, qira dhe shpenzime operative të klinikave dentare.
Tarifa dhe kosto administrative të reduktuara – Taksat për bizneset dhe profesionistët në Shqipëri janë përgjithësisht më të ulëta krahasuar me vendet e Evropës Perëndimore. Kjo u lejon klinikave dentare të ofrojnë çmime më konkurruese.
Materiale dhe furnizime dentare – Klinikat në Shqipëri importojnë materiale me cilësi të lartë nga të njëjtët furnitorë që përdoren në Itali dhe vende të tjera evropiane, por kostoja totale e shërbimit mbetet më e ulët për shkak të shpenzimeve operative më të reduktuara.
Konkurrencë e lartë në turizmin dentar – Shqipëria është kthyer në një destinacion të rëndësishëm për turizmin dentar, duke tërhequr pacientë nga jashtë falë çmimeve të favorshme dhe trajtimeve cilësore. Konkurrenca mes klinikave ndihmon në mbajtjen e çmimeve më të ulëta.
Mbështetja qeveritare dhe stimujt tatimorë – Në disa raste, qeveria shqiptare ofron lehtësime tatimore për të tërhequr investime në sektorët e shëndetësisë dhe turizmit, duke nxitur turizmin mjekësor dhe duke ndikuar në uljen e kostove.

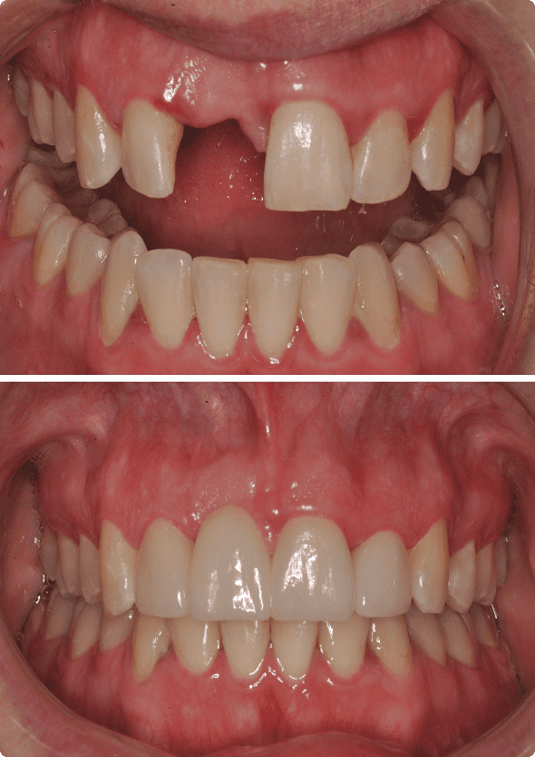
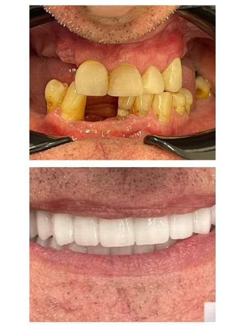
Transformime Reale të Pacientëve Tanë

Zbuloni rezultatet e shërbimeve dentare profesionale përmes zërit të pacientëve tanë. Shikoni dëshmi nga ata i besuan American Dental Hospital për transformimin e buzëqeshjes së tyre.

Galeria e Buzëqeshjeve Tona

Zbuloni Buzëqeshjet që Kemi Krijuar

Mbi 10,000+ Pacientë Ndërkombëtarë të Kënaqur

Me Rezultatet e Tyre nga Puna Fantastike e Specilalistëve Tanë

Turizmi Dentar në Shqipëri: Procedura, Këshilla & Rikuperimi

Zgjedhja e turizmit dentar në Shqipëri do të thotë të planifikoni si trajtimin, ashtu edhe qëndrimin tuaj. Në American Dental Hospital, çdo ndërhyrje kirurgjikale ndjek një protokoll të qartë mjekësor, të ndërtuar për siguri, rehati dhe rezultate të parashikueshme.

Këshilla praktike për pacientët

• Sillni radiografinë panoramike dhe historinë tuaj mjekësore
• Planifikoni një qëndrim prej 5–7 ditësh për rastet kirurgjikale
• Shmangni duhanin para dhe pas ndërhyrjes
• Ndiqni dietën me ushqime të buta të rekomanduar nga dentistët tanë
• Respektoni orarin e medikamenteve të përshkruara

Kohëzgjatja e procedurës

1-5 orë, varësisht nga trajtimi

Markat e Implanteve

Gjermane, Zvicerane

Garancia

5-10 Vite

Transporti

Transport Privat

Akomodimi

Suitë Luksoze 5★

Kujdes Mjekësor

Monitorim 24/7 në spitalin tonë privat
Filloni transformimin tuaj sot!
Plotësoni të dhënat tuaja për një KONSULTË FALAS ONLINE!
kujdes dentar i përballueshëm në Shqipëri
Dëshironi një Ofertë të Personalizuar Falas?

Na Kontaktoni në WhatsApp

Flisni vetë me një dentist të specializuar! Çdo gjë fillon me një vlerësim online. Na kontaktoni, na dërgoni grafinë tuaj dentare dhe merrni një analizë profesionale për rastin tuaj së bashku me një ofertë 100% falas. Ekipi ynë është këtu për t’iu përgjigjur çdo pyetjeje dhe për t’ju ndihmuar nga konsulta e parë deri te trajtimi dhe faza e fundit e rikuperimit.

01
02
03
04

Na Kontaktoni

Na tregoni shqetësimet tuaja dentare dhe rezultatet që dëshironi të arrini. Na dërgoni disa foto të dhëmbëve ose, idealisht, një grafi panoramike, në mënyrë që dentistët tanë të kuptojnë qartë situatën tuaj dhe të fillojnë planifikimin e zgjidhjes më të mirë.

Vlerësimi i Rastit & Plani i Trajtimit

Ekipi ynë do të shqyrtojë me kujdes informacionin dhe imazhet tuaja, më pas do të përgatisë një plan trajtimi të personalizuar sipas nevojave tuaja. Do të merrni një shpjegim të qartë të procedurave të rekomanduara, kohëzgjatjes së trajtimit dhe një ofertë të detajuar falas, pa asnjë detyrim!

Udhëtimi drejt Shqipërisë – Ne Organizojmë Gjithçka

Pasi të vendosni të vazhdoni me trajtimin tuaj, ne ju ndihmojmë me organizimin e udhëtimit drejt Tiranës, duke përfshirë të gjitha transfertat nga aeroporti, asistencë me akomodimin dhe planifikimin e takimeve. Nga fillimi deri në fund, ekipi ynë ju siguron një përvojë turizmi dentar pa stres.

Trajtimi & Rikuperimi

Trajtimi juaj realizohet me teknika moderne sipas standardeve më të larta të sigurisë. Pas procedurës, ne vazhdojmë t’ju mbështesim me vizita kontrolli dhe udhëzime për kujdesin në shtëpi, në mënyrë që të ktheheni në vendin tuaj të qetë dhe me një buzëqeshje të re e të shëndetshme.

Spitali Amerikan i Stomatologjisë | Paketat tuaja të Implanteve Dentare

Për pacientët që kërkojnë implante dentare në Shqipëri, ne ofrojmë paketa që janë plotësisht të personalizueshme për t'iu përshtatur nevojave të tyre unike. Ja 3 opsionet tona më të njohura për ata që kanë nevojë për sisteme all-on-x.

ALL-ON-4

Kjo paketë përfshin:
Diagnostikim dixhital të plotë
4 implante premium për çdo hark
Dhëmbë provizorë brenda 24–48 orëve
Kurora përfundimtare (12 kurora për hark)
Asistencë për udhëtim dhe akomodim
Garanci e shkruar për trajtimin
Konsultë Falas

ALL-ON-6

Kjo paketë përfshin:
Diagnostikim dixhital të plotë
6 implante premium për çdo hark
Dhëmbë provizorë brenda 24–48 orëve
Kurora përfundimtare (12–14 kurora për hark)
Asistencë për udhëtim dhe akomodim
Garanci e shkruar për trajtimin
Konsultë Falas

ALL-ON-8

Kjo paketë përfshin:
Diagnostikim dixhital të plotë
8 implante premium për çdo hark
Kurora përfundimtare (14 kurora për hark)
Kurora përfundimtare (14 kurora për hark)
Asistencë për udhëtim dhe akomodim
Garanci e shkruar për trajtimin
Konsultë Falas

Dentist në Shqipëri: dhëmbë të fiksuar në implante në 48 orë

Merrni një ofertë të personalizuar me çmimet, materialet dhe garancitë më të mira në Evropë. Gjithçka brenda 24 orëve!

Dëshmi nga Pacientët

Histori Reale nga Pacientët Tanë

Pacientë nga e gjithë Europa dhe më gjerë ndajnë përvojën e tyre në American Dental Hospital në Tiranë.

4.9
Vlerësimi i Google
Bazuar në +1000 komente
Shkëlqyeshëm
436 vlerësime
22/01/2026
Zgjodha All on 4 sepse doja një zgjidhje fikse dhe më pak ndërhyrje kirurgjikale. Dentisti ma shpjegoi gjithçka qartë dhe vendosa dhëmbët provizorë shumë shpejt. Tani mund të ha dhe të buzëqesh normalisht.
Lexo më shumë
Roberto F.
– Verona
08/01/2026
Erdha për implante pas vitesh me probleme. Gjithçka u shpjegua qartë dhe u ndjeva rehat që në vizitën e parë. Klinika ishte shumë e pastër dhe profesionale. Jam tepër i lumtur që bëra këtë investim për shëndetin tim.
Lexo më shumë
Marko R.
– Milano
29/11/2025
Isha pak nervoze të udhëtoja për një trajtim dentar, por gjithçka shkoi më mirë nga sa prisja. Dentisti më kushtoi kohë dhe rezultati duket shumë natyral. Ndryshim i pabesueshëm në buzëqeshjen time.
Lexo më shumë
Xhulia S.
– Romë
14/12/2025
Bëra kurora dhe trajtime të përgjithshme dentare. Asnjë dhimbje dhe asnjë nxitim. Çmimet ishin të drejta dhe cilësia sinqerisht më e lartë nga sa prisja.
Lexo më shumë
Alessandro M.
– Bolonjë
07/06/2025
Erdha pas një rekomandimi nga një mik. Ekip shumë i organizuar dhe komunikim i qartë. Ndihesha i sigurt gjatë gjithë kohës dhe jam i kënaqur me rezultatin.
Lexo më shumë
Franceska D.
– Milano
18/08/2025
Kisha nevojë për trajtim estetik dhe nuk doja diçka që dukej artificiale. Dentisti dëgjoi me kujdes çfarë kërkoja. Fasetat e mia duken të mrekullueshme por shumë natyrale.
Lexo më shumë
Paolo V.
– Napoli
02/10/2025
Kisha probleme dentare prej vitesh. Trajtimi këtu më në fund i zgjidhi. Gjithçka shkoi pa probleme nga konsultimi deri te kontrollet pasuese.
Lexo më shumë
James L.
– Londër
21/12/2025
Zgjodha All on 6 pas humbjes së shumë dhëmbëve ndër vite. I gjithë procesi ishte shumë i organizuar dhe ekipi tepër profesional. Rezultati final është fantastik.
Lexo më shumë
Stefano C.
– Torino

Pse të Zgjidhni Turizmin Dentar në Shqipëri?

Cilësia e Kujdesit Dentar

Turizmi dentar në Shqipëri u jep pacientëve akses në trajtime moderne me kosto shumë më të ulëta se në Itali, pa kompromis në siguri apo materiale. Implante, kurora, faseta dhe rikonstruksione të plota realizohen me sisteme të certifikuara dhe planifikim digjital, brenda një mjedisi mjekësor të strukturuar.

Akses i Shpejtë pa Lista Pritjeje

Ndërsa shumë klinika në Itali kanë kohë të gjata pritjeje, në Shqipëri takimet organizohen brenda pak ditësh. Në American Dental Hospital çdo pacient ndjek një plan të qartë, nga vlerësimi online deri te ndërhyrja dhe kontrollet përfundimtare, duke e bërë të mundur një udhëtim të shkurtër trajtimi.

Trajtim në një Ambient të Vërtetë Spitalor

Procedurat kryhen në një strukturë me mbështetje urgjence dhe kujdes intensiv, protokolle të avancuara sterilizimi dhe monitorim të vazhdueshëm mjekësor. Ky standard spitalor ofron një nivel sigurie që rrallë gjendet në klinika dentare të zakonshme jashtë vendit.

Kosto Transparente dhe Kursime Inteligjente

Shpenzimet më të ulëta operative në Shqipëri përkthehen në çmime më të përballueshme për pacientët e huaj. Ju përfitoni të njëjtat materiale dhe teknika evropiane që përdoren në vendin tuaj, por me kursime që mund të arrijnë deri në 70% në trajtime komplekse si implantet dhe rehabilitimet e plota të gojës.

Kujdes i Kombinuar me Eksperiencë Udhëtimi

Të zgjedhësh turizmin dentar në Shqipëri do të thotë të rikuperohesh në një destinacion mikpritës mesdhetar. Tirana, Vlora dhe Durrësi ofrojnë kulturë, det dhe gastronomi të shkëlqyer, duke u dhënë pacientëve mundësinë të kombinojnë trajtimin me një qëndrim relaksues.

Zgjidhni Paketën Tuaj të Turizmit Dentar Tani!

American Dental Hospital ofron paketa gjithëpërfshirëse për një përvojë pa shqetësime. Na kontaktoni për një vlerësim të personalizuar të rastit tuaj dhe merrni preventivin tuaj 100% falas.

Trajtime dentare në dispozicion

Implantologji Dentare

Implantet e teknologjisë së fundit garantojnë stabilitet dhe funksionalitet. Ne përdorim titan me cilësi të lartë për integrim të përsosur me kockën.

Fasetat dhe Kurora Dentare

Zgjidhje estetike në qeramikë ose zirkon për një buzëqeshje natyrale dhe afatgjatë, të personalizuara për secilin pacient.

Ortodoncia Moderne

Nga aparatet ortodontike fikse deri tek ato të padukshme, ne korrigjojmë defektet e shtrirjes për të përmirësuar estetikën dhe funksionalitetin.

Ortodoncia Moderne

Nga aparatet ortodontike fikse deri tek ato të padukshme, ne korrigjojmë defektet e shtrirjes për të përmirësuar estetikën dhe funksionalitetin.

Zbardhje dhëmbësh

Zbardhim profesional për të përmirësuar ngjyrën e dhëmbëve në mënyrë të sigurt dhe efektive me rezultate të menjëhershme.

Kirurgjia Orale dhe Kujdesi Konservativ

Nga nxjerrjet e dhëmbëve deri te trajtimi i kariesit me mbushje estetike, ne ofrojmë zgjidhje minimalisht invazive dhe pa dhimbje.

Përvoja Turistike në Shqipëri

Turizëm Kulturor

Zbuloni Tiranën, Beratin dhe Gjirokastrën, qytete të pasura me histori dhe hijeshi.

Resorte plazhi

Relaksohuni në plazhet e Ksamilit, Dhërmiut dhe Vlorës, perfekte për rikuperim pas trajtimit.

Gastronomi

Shijoni gatime tipike si byrek, tave kosi dhe peshk të freskët nga deti Adriatik.
Pyetje të shpeshta

Ku pyetjet tuaja, gjejnë përgjigje

Keni pyetje për kujdesin tuaj dentar? Jemi këtu për t'ju dhënë përgjigje të qarta dhe të sinqerta që t'ju ndihmojnë të ndiheni të sigurt dhe të informuar në çdo hap.

Pse dentistët në Shqipëri janë më të përballueshëm?

Dentistët në vendin tonë ofrojnë trajtime të së njëjtës cilësi dhe standarde ndërkombëtare si në Europën Perëndimore apo Amerikën e Veriut, por me çmime rreth 60–70% më të ulëta. Arsyeja kryesore lidhet me kostot më të ulëta operative në Shqipëri si shpenzimet e klinikës, stafit dhe mirëmbajtjes, duke ofruar të njëjtën teknologji moderne, materiale cilësore dhe ekspertizë profesionale.

Në American Dental Hospital, dentistët tanë janë të trajnuar jashtë vendit dhe përdorin materiale premium gjermane dhe zvicerane, brenda një ambienti spitalor privat modern. Ju merrni kujdes të nivelit botëror, pa çmimet e tepruara të tregjeve perëndimore.

Cila është klinika më e mirë dentare në Shqipëri?

American Dental Hospital konsiderohet zgjedhja kryesore për kujdes dentar në Shqipëri sepse funksionon si spital privat i plotë — jo thjesht si klinikë dentare. Ndryshe nga shumë klinika dentare në Tiranë, ne ofrojmë monitorim mjekësor 24/7, salla kirurgjikale bashkëkohore, imazheri diagnostikuese dhe kujdes të plotë pas operacionit.

Dentistët tanë kanë certifikime ndërkombëtare dhe kemi realizuar mijëra trajtime të suksesshme për pacientë nga e gjithë Europa. Me departamente të specializuara në implantologji, stomatologji estetike dhe rikonstruksione të plota dentare, ofrojmë nivel të pakrahasueshëm ekspertize dhe sigurie.

Çfarë ndodh kur të mbërrij në klinikë?

Përvoja juaj në American Dental Hospital fillon që në kontaktin e parë me ne. Sapo të mbërrini në Tiranë, koordinatori ynë do t’ju presë në aeroport dhe do t’ju shoqërojë drejt hotelit. Ditën e parë në spitalin tonë privat, do të takoni dentistin tuaj për një ekzaminim të plotë me grafi dentare, skaner 3D dhe konsultë të detajuar mbi planin e trajtimit.

Ne ju shpjegojmë çdo hap, kohëzgjatjen dhe kostot, duke iu përgjigjur çdo pyetjeje. Gjatë gjithë qëndrimit, do të keni shërbim 24/7 nga ekipi ynë mjekësor, ndërsa ne koordinojmë vizitat, transportin dhe logjistikën — për një përvojë të qetë dhe pa stres.

Sa mund të kursej realisht?

Pacientët zakonisht kursejnë rreth 60–70% krahasuar me vende si Europa Perëndimore, Mbretëria e Bashkuar apo SHBA. Qoftë për implante dentare, rikonstruksion të plotë të gojës, faseta apo kurora, diferenca në kosto është e konsiderueshme — madje edhe duke përfshirë fluturimet, akomodimin dhe një javë qëndrim në Tiranë, shumica e pacientëve kursejnë mbi 50% të shpenzimeve totale.

Nuk flas shqip — si do të komunikoj me dentistët?

Gjuha nuk është kurrë pengesë në American Dental Hospital. I gjithë stafi ynë flet rrjedhshëm italisht dhe anglisht, si dhe kemi anëtarë që komunikojnë në gjermanisht, frëngjisht dhe gjuhë të tjera europiane.

Nga konsultat e para në WhatsApp deri te trajtimi dhe kujdesi pasues, çdo komunikim zhvillohet në gjuhën tuaj të preferuar. Planet e trajtimit dhe udhëzimet pas operacionit ofrohen gjithashtu në gjuhën tuaj, që të ndiheni të sigurt dhe të informuar.

A do të kaloj shumë kohë pa dhëmbë gjatë trajtimit?

Absolutisht jo. Në American Dental Hospital e dimë sa e rëndësishme është pamja dhe vetëbesimi juaj. Dentistët tanë sigurojnë gjithmonë zgjidhje provizore të menjëhershme, në mënyrë që të mos largoheni nga klinika pa dhëmbë — qoftë me kurora provizore, ura apo proteza të përkohshme.

Për trajtime komplekse si implantet dentare apo rikonstruksioni i plotë i gojës, do të vendosni dhëmbë provizorë funksionalë brenda 24–48 orëve nga ndërhyrja. Kjo protezë provizore ju lejon të hani, të flisni dhe të buzëqeshni normalisht deri në vendosjen e restaurimeve përfundimtare të realizuara në laboratorin tonë.

Akoma keni pyetje?
Na Kontaktoni në WhatsApp
Seksioni i blogjeve

Artikujt e Fundit

Merrni këshilla nga dentistët tanë dhe lajme nga klinika—për të mbajtur buzëqeshjen tuaj të shëndetshme dhe të bukur.
Mbulesa estetike (Veneers) apo Kurora për një buzëqeshje të re? Si bëhet zgjedhja e duhur

Veneers apo Kurora për Riparim të Buzëqeshjes? Si Bëhet Zgjedhja e Du Weal

Veneers apo kurora për një "smile makeover", kjo është një nga pyetjet më të zakonshme

Lexo më shumë
Vite Problemash Dentare, Një Plan i Plotë: Fuqia e Implantit të Plotë të NoFullës Dentare

Vite të Problemeve Dentare, Një Plan i Plotë: Fuqia e Implantimeve Dentare të Plotë të Gojës

Implantet dentare të plota në Shqipëri po ndryshojnë jetë, jo vetëm buzëqeshje. Në American Dental Hospital

Lexo më shumë
Fasadat E-Max në Shqipëri: Për kë janë më të përshtatshme?

Fasetat E-Max: Për Kë Janë Më Të Përshtatshme?

Fasadat E-Max në Shqipëri janë bërë një nga trajtimet më të kërkuara dentare estetike nga

Lexo më shumë
Konsultë e Thjeshtë 1 Minutëshe me Ekspertët Tanë

Kërkoni Ofertën Tuaj Falas - Online - Private

Filloni transformimin tuaj sot!
Plotësoni të dhënat tuaja për një KONSULTË FALAS ONLINE!
Fundi i faqes