Faccette E-Max in Albania: A Chi Sono Ideali?
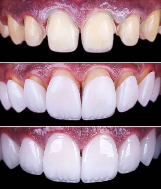
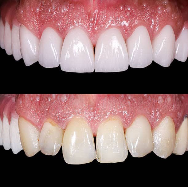
Veneers E-Max in Albania sono diventati uno dei trattamenti odontoiatrici estetici più richiesti dai pazienti internazionali, ed è facile capire perché. Questi sottilissimi gusci in ceramica donano un sorriso straordinario e dall'aspetto naturale che dura per decenni.
Presso l'American Dental Hospital di Tirana, applichiamo centinaia di faccette E-Max ogni anno per pazienti che desiderano risultati reali senza compromettere la qualità.
Cosa sono esattamente le faccette E-Max?
Le faccette E-Max sono realizzate in ceramica disilicato di litio, un materiale noto per la sua eccezionale resistenza e traslucenza. Replicano le naturali proprietà riflettenti della luce dello smalto dei denti veri.
A differenza delle opzioni composite o in porcellana più vecchie, le faccette E-Max in Albania sono incredibilmente sottili. Meno rimozione dello smalto significa che più dente naturale viene preservato durante il processo di preparazione.
- Spessore di soli 0,3-0,5 mm — minima riduzione del dente
- Durata di vita di 10-20 anni con cure adeguate
- Resistente alle macchie e altamente durevole
- Colorato con precisione in base ai tuoi denti naturali o alla tonalità desiderata
- Disponibile in set completi o correzioni individuali dei denti

Chi è il candidato ideale per le faccette E-Max in Albania?
Le faccette E-Max non sono per tutti ed è proprio questo che le rende speciali. Il paziente giusto ottiene risultati straordinari. L'approccio sbagliato porta alla delusione.
I nostri dentisti cosmetologi in Albania valutano ogni caso individualmente prima di raccomandare le faccette E-Max. Ecco chi ne trae maggior beneficio tipicamente:
- Pazienti con denti scoloriti che non rispondono allo sbiancamento
- Quelli con denti scheggiati, leggermente usurati o dalla forma irregolare
- Persone con piccoli spazi o fessure che desiderano chiudere esteticamente
- Chiunque desideri un sorriso Hollywood senza grandi modifiche strutturali
- Pazienti con gengive sane e sufficiente smalto dentale rimanente
Quando le faccette E-Max potrebbero non essere la scelta giusta
Comprendere quando le faccette E-Max non sono adatte è altrettanto importante. I nostri dentisti vi daranno sempre una valutazione onesta, senza mai dirvi solo ciò che volete sentire.
Alcune situazioni richiedono invece corone, faccette in composito o trattamento ortodontico. Scegliere la soluzione sbagliata spreca denaro e può danneggiare i denti.
- Gente severe (bruxismo) — le faccette possono scheggiarsi o rompersi
- Denti molto cariati o strutturalmente compromessi — le corone sono la soluzione migliore
- Denti molto disallineati — potrebbe essere raccomandato prima l'ortodonzia
- Smalto insufficiente — l'adesione potrebbe essere un'alternativa più sicura
- Malattia gengivale attiva: questa deve essere trattata prima di qualsiasi lavoro cosmetico

Faccette dentali E-Max vs. Faccette in composito: quale è meglio?
Le faccette in composito sono più economiche e veloci, ma il confronto finisce qui. Le faccette in ceramica E-Max offrono risultati che il composito non può eguagliare, soprattutto a lungo termine.
Le faccette E-Max in Albania offrono una durata e un livello estetico ben superiori a quelli raggiungibili con le otturazioni composite. Per i pazienti che desiderano una trasformazione permanente e che cambia la vita, E-Max è la scelta più ovvia.
- E-Max: durata di vita 10-20 anni contro composito: 3-5 anni
- E-Max: antimacchia; composito: incline alla decolorazione
- E-Max: più forte e più resistente alle fratture
- E-Max: laboratorio artigianale per un adattamento e una precisione del colore perfetti
Il Processo delle Faccette E-Max all'American Dental Hospital
Ottenere le faccette E-Max in Albania presso la nostra clinica è un processo fluido e ben organizzato. Ci occupiamo di tutto, dalla tua prima progettazione digitale del sorriso fino all'applicazione finale.
La maggior parte dei pazienti completa il trattamento completo con faccette E-Max in un unico viaggio a Tirana. Coordiniamo tutto in base al tuo programma.
- Passaggio 1: Consultazione di progettazione digitale del sorriso - vedi il tuo risultato prima che inizi il trattamento
- Passaggio 2: Preparazione minima del dente in anestesia locale
- Passo 3: Impronte ad alta precisione inviate al nostro laboratorio interno
- Fase 4: Le faccette provvisorie vengono applicate mentre le tue faccette E-Max vengono realizzate
- Passaggio 5: Adesione finale e verifica del colore: il tuo nuovo sorriso è completo
Quanto costano le faccette E-Max in Albania rispetto all'Europa occidentale?
Il costo è una delle domande più frequenti e la risposta sorprende costantemente i pazienti. Le faccette E-Max in Albania costano una frazione di quanto pagheresti in Italia, nel Regno Unito o in Germania.
Anche dopo voli e alloggio, la maggior parte dei pazienti risparmia migliaia di euro scegliendo una clinica dentale in Albania rispetto a una clinica del proprio paese.
- Albania: risparmia fino al 70% rispetto ai prezzi dell'Europa occidentale
- Materiali ceramici Premium E-Max: la stessa qualità utilizzata nelle migliori cliniche in tutta Europa
- Nessun costo nascosto — piano di trattamento completo fornito in anticipo
- Consulenza digitale gratuita prima di impegnarsi in qualsiasi cosa

Domande Frequenti
Chi è un buon candidato per le faccette E-Max presso l'American Dental Hospital?
L'American Dental Hospital raccomanda solitamente le faccette E-Max per i pazienti con denti scoloriti, scheggiati, leggermente usurati o irregolari che desiderano un sorriso dall'aspetto più naturale senza trattamenti strutturali importanti.
Le faccette E-Max presso l'American Dental Hospital sono migliori delle faccette in composito?
Le faccette E-Max presso l'American Dental Hospital sono spesso un'opzione migliore per i pazienti che desiderano materiali più resistenti, una migliore resistenza alle macchie e risultati estetici più duraturi rispetto alle faccette in composito.
Quanto durano le faccette E-Max?
Le faccette E-Max possono durare circa 10-20 anni con la dovuta cura, rendendole un trattamento odontoiatrico cosmetico popolare a lungo termine per i pazienti che visitano l'Albania.
Quanto tempo dura il processo delle faccette E-Max all'American Dental Hospital?
All'American Dental Hospital, molti pazienti possono completare il loro trattamento con faccette E-Max durante un unico viaggio a Tirana, a seconda di quante faccette vengono applicate.
Le faccette E-Max possono correggere denti molto storti o danneggiati?
Non sempre. L'American Dental Hospital potrebbe raccomandare altri trattamenti prima quando i denti sono gravemente danneggiati, molto disallineati o affetti da problemi attivi alle gengive.
Perché i pazienti scelgono American Dental Hospital per le faccette E-Max in Albania?
Molti pazienti scelgono l'American Dental Hospital perché combina risultati cosmetici dall'aspetto naturale, materiali avanzati e costi di trattamento inferiori rispetto a molte cliniche in Europa occidentale.
Prenota oggi stesso la tua consulenza gratuita per le faccette E-Max
Non lasciarti sfuggire un altro giorno senza il sorriso che meriti. Le faccette E-Max all'American Dental Hospital in Albania sono la tua scorciatoia per un sorriso sorprendente e dall'aspetto naturale, a un prezzo che ha davvero senso.
✅ Consulenza digitale gratuita per il sorriso — vedi la tua trasformazione prima di iniziare
✅ Inviaci le tue foto su WhatsApp per un preventivo istantaneo e senza impegno
✅ Risparmia fino al 70%% rispetto a Italia, Regno Unito e Germania
✅ Ceramica E-Max di alta gamma: lo stesso materiale utilizzato dalle migliori cliniche in tutto il mondo
✅ Oltre 10.000 pazienti internazionali trasformati
✅ Coordinamento completo del viaggio incluso — voli, hotel, transfer
📱 WhatsApp: +355 688 080 805
🌐 Sito web: al.spitaliamerikan.com/dentale
📧 Email: [email protected]
📍 Indirizzo: Rruga Sabaudin Gabrani Nr. 2, Tirana, Albania
Richiedi il Tuo Preventivo Gratuito!
Parla con un odontoiatra esperto in Albania e ricevi una raccomandazione di trattamento personalizzata. Offriamo valutazioni gratuite per tutti i trattamenti odontoiatrici, con prezzi trasparenti e assistenza esperta in ogni fase.
Richiedi il Tuo Preventivo Gratuito!
Parla con un odontoiatra esperto in Albania e ricevi una raccomandazione di trattamento personalizzata. Offriamo valutazioni gratuite per tutti i trattamenti odontoiatrici, con prezzi trasparenti e assistenza esperta in ogni fase.
Articoli Recenti
Impiallacciature o Corone per un Rifacimento del Sorriso? Come Si Fa La Scelta Giusta
Faccette o corone per un rifacimento del sorriso, è una delle domande più comuni
Per saperne di più
Anni di problemi dentali, un piano completo: Il potere degli impianti dentali completi
Gli impianti dentali completi in Albania cambiano la vita, non solo i sorrisi. Presso l'American Dental Hospital
Per saperne di più
Perché scegliere un ospedale dentale in Albania può sembrare più sicuro di una clinica standard
Un ospedale odontoiatrico in Albania non è la stessa cosa di una clinica dentistica normale, e
Per saperne di più
